Articles by Jamie Morton
-
National
Climate change: How heatwaves are pushing NZ’s vital estuaries to worrying extremes
Monday, 31 March 2025, 10:06amHeatwaves are growing more frequent and intense in New Zealand’s estuaries, posing a threat to a plethora of species. In...
-
National
Sting in summer’s tail: Why are there so many wasps about at the moment?
Thursday, 27 March 2025, 4:05pmCouncil rangers are reporting unusually high numbers of wasps around some Auckland parks. An ecologist said New Zealand’s...
-
National
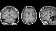
Brain injury breakthrough: NZ scientists discover telltale marker after concussion
Thursday, 27 March 2025, 7:33amMore than 33,000 cases of mild traumatic brain injury are reported in New Zealand each year – a third of them from sport...
-
National
‘No political influence’: Lawyer assures fairness in Covid inquiry
Thursday, 20 March 2025, 1:08pmThe King’s Council heading the second Covid-19 inquiry says about 3,200 submissions have been so far received, with a balance...
-
National
Submarine cable between Australia and NZ now doubling as a tsunami sensor
Monday, 17 March 2025, 1:07pmA New Zealand-United Kingdom scientific collaboration is using laser technology to monitor for earthquakes and tsunamis along...
-
National
‘Prepare for heat stress’: Extreme heat streaks expected to rise in NZ city
Monday, 17 March 2025, 9:28amOver a sweltering 15 days last month, maximum temperatures in Hamilton never fell below 27C. It was a once-in-a-decade...
-
National
How Antarctica’s melting ice sheet could change NZ’s climate
Monday, 24 February 2025, 1:35pmA first-of-its-kind study suggests the ongoing melting of Antarctica’s vast ice sheet could have direct implications for...
-
Lower North Island
Weather: Risk of flooding, slips amid potential severe thunderstorms over North Island
Monday, 10 February 2025, 11:54amMetService has issued severe thunderstorm watch for the Central North Island for later this afternoon and evening Some of...
-
National
What scientists are learning about potential lava flows in Auckland
Wednesday, 22 January 2025, 12:27pmTHREE KEY FACTS: Rivers of lava could flow for kilometres through Auckland if an eruption occurred within the large and...
-
National
Space spectacle: ‘Once in a lifetime’ comet to be visible in NZ skies
Tuesday, 14 January 2025, 2:46pmComet C/2024 G3 (Atlas) is passing close to the Sun and likely to be visible in New Zealand skies later this month Comets...
-
Health
Climate change: How worsening heatwaves could hurt your heart
Sunday, 12 January 2025, 3:26pmAround 180,000 Kiwis already live with heart disease, and more frequent heatwaves under climate change are likely to worsen...
-
National
Long-range outlook: What weather’s in store for NZ for the rest of summer?
Wednesday, 8 January 2025, 12:48pmThe year might have started off on a bum note for much of the North Island – but Niwa’s just-issued outlook is picking above-average...
-
National
Revealed: Just how warm was 2024 in New Zealand?
Wednesday, 8 January 2025, 12:18pmNew Zealand again saw one of its hottest years on the books in 2024 – although one slightly cooler than a run of record-breakers...
-
National
Summer bummer: Just how much colder has 2025 been where you live?
Tuesday, 7 January 2025, 3:31pmAs sun-starved Wellingtonians need little reminding, summer 2025 has been much more bummer than stunner. But just much worse...
-
National
Summer disrupted: Why forecasters are picking a ‘cool lean’ for first half of January
Saturday, 4 January 2025, 4:04pmA weather forecaster is predicting a “cool lean” for much of New Zealand over the first half of January, amid chilly southerly...
-
National
Christmas Day weather: Here’s what forecasters can tell us so far
Monday, 16 December 2024, 1:33pmLong-range forecasts suggest unsettled, cooler weather around New Zealand for Christmas Eve and Christmas Day But meteorologists...
-
National
Covid for Christmas? Here's what the modellers are predicting
Sunday, 15 December 2024, 10:06amCovid-19 modellers say any summer surge will come with a smaller peak than 2022 and 2023. 2024 is likely to finish with around...
-
National
Supreme Court rules in new twist for 20-year foreshore and seabed Māori rights saga
Monday, 2 December 2024, 3:24pmA just-issued Supreme Court ruling marks the latest twist in a 20-year legal saga over Māori customary rights to the foreshore...
-
National
Here comes the heat: Parts of NZ to hit 30C this week
Wednesday, 27 November 2024, 7:10amMetService is forecasting temperatures around the 30C mark for multiple eastern centres on Thursday. Nights won’t offer...
-
National
‘One to two hours’ notice’: The NZ region at risk of 12m-high tsunamis
Thursday, 14 November 2024, 7:11amA new study highlights the tsunami threat facing Southland, where a nearby earthquake zone is thought capable of unleashing...
-
Science
How gigantic eruption's rare 'booms' are informing NZ's disaster planning
Sunday, 3 November 2024, 4:30pmThousands of Kiwis reported feeling or hearing a series of cannonfire-like booms following the 2022 eruption of Tonga’s Hunga...
-
National
Reversing biodiversity crisis could save $270b over next 50 years - analysis
Thursday, 17 October 2024, 3:48pmA first-of-its-kind economic analysis finds $270b could be saved over 50 years by halting species loss today. Meeting set...
-
National
School holiday weather: Burst of polar air set to send NZ back to winter
Monday, 7 October 2024, 3:03pmA mid-week burst of polar air is set to send large parts of New Zealand back to winter, as MetService issues advisories for...
-
National
Health experts air Covid-19 concerns as free RAT tests end next week
Thursday, 26 September 2024, 1:51pmThe days of pharmacists dispensing free Covid-19 tests are about to come to an end – which health experts fear will create...